The Smile Code logo

Smile Code

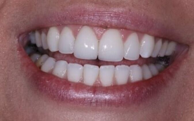
Welcome to Smile Code. Our skilled dental team in New York, NY, is led by Drs. Elisa Mello and Ramin Tabib. We provide comprehensive dental care in a modern, comfortable environment to ensure that every patient achieves a stunning smile they can feel proud to share with the world. Our affiliations include:

  • American Academy of Cosmetic Dentistry
  • Academy of General Dentistry 
  • American Academy of Implant Dentistry
  • American Academy of Periodontology
  • International Congress of Oral Implantologists

Book an appointment today using our online form, or call us directly at (212) 452-3344.

Contact Us Today

Contact Us

Fields With Are Required
You can also call us at (212) 452-3344. This site is protected by reCAPTCHA and the Google Privacy Policy and Terms of Service apply.

Rate, Review & Explore

Social Accounts Sprite