Veneers: Dina
Description
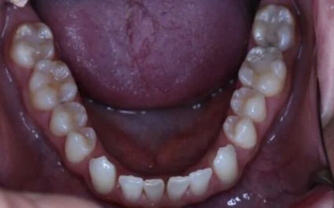
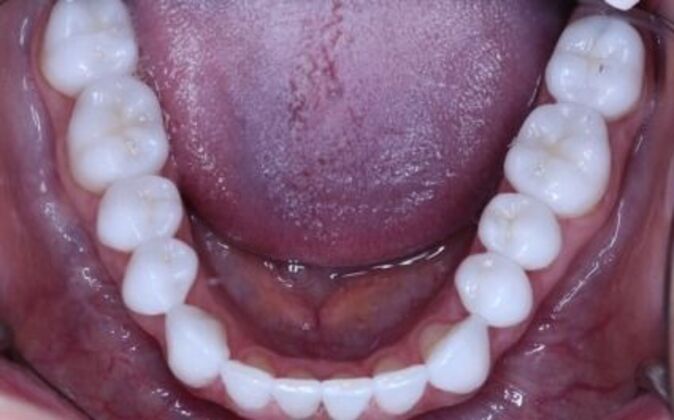
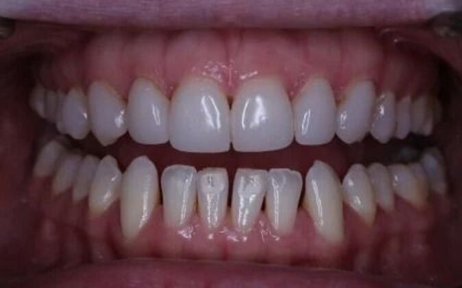
Dina previously had upper six veneers to close the gaps but she was never satisfied with the final outcome. She felt her teeth looked bulky and to top it off it kept chipping and breaking off. When we examined Dina we could clearly see why this was happening. There has never been enough space for the veneers to function properly against the lower teeth. Dina had an overclosed bite and when she bites all the way down her veneers would smash against the lower teeth. It would basically completely cover her lower teeth when she closed down completely. Therefore chipping and debonding of the veneers could happen. In order to create a makeover that would look and function properly we had to raise her bite by preparing all the lower teeth and make them taller. This would separate the upper arch versus the lower arch and give us more space to create correct proportions of teeth. In addition we replaced upper 6 veneers and added 4 more to finalize her smile makeover. A Successful lawyer that now feels more confident in litigating her cases.









