Harsha's Story
“You feel more confident when you are happy with your smile. You are more likely to carry yourself in a positive manner."
- Harsha
Harsha's Journey with Smile Code

Let me tell you about the incredible transformation journey of one of our patients, Harsha. When Harsha first came to see us, he was experiencing a lot of discomfort and pain in his jaw and facial muscles. It wasn't just about having a pretty smile for him; he was really struggling with finding a comfortable bite.
You might be surprised to hear that someone can have a beautiful smile but still experience so much pain and discomfort. It's like having a fancy car with a shiny exterior, but when you look under the hood, there are some serious problems. That's exactly what was going on with Harsha.
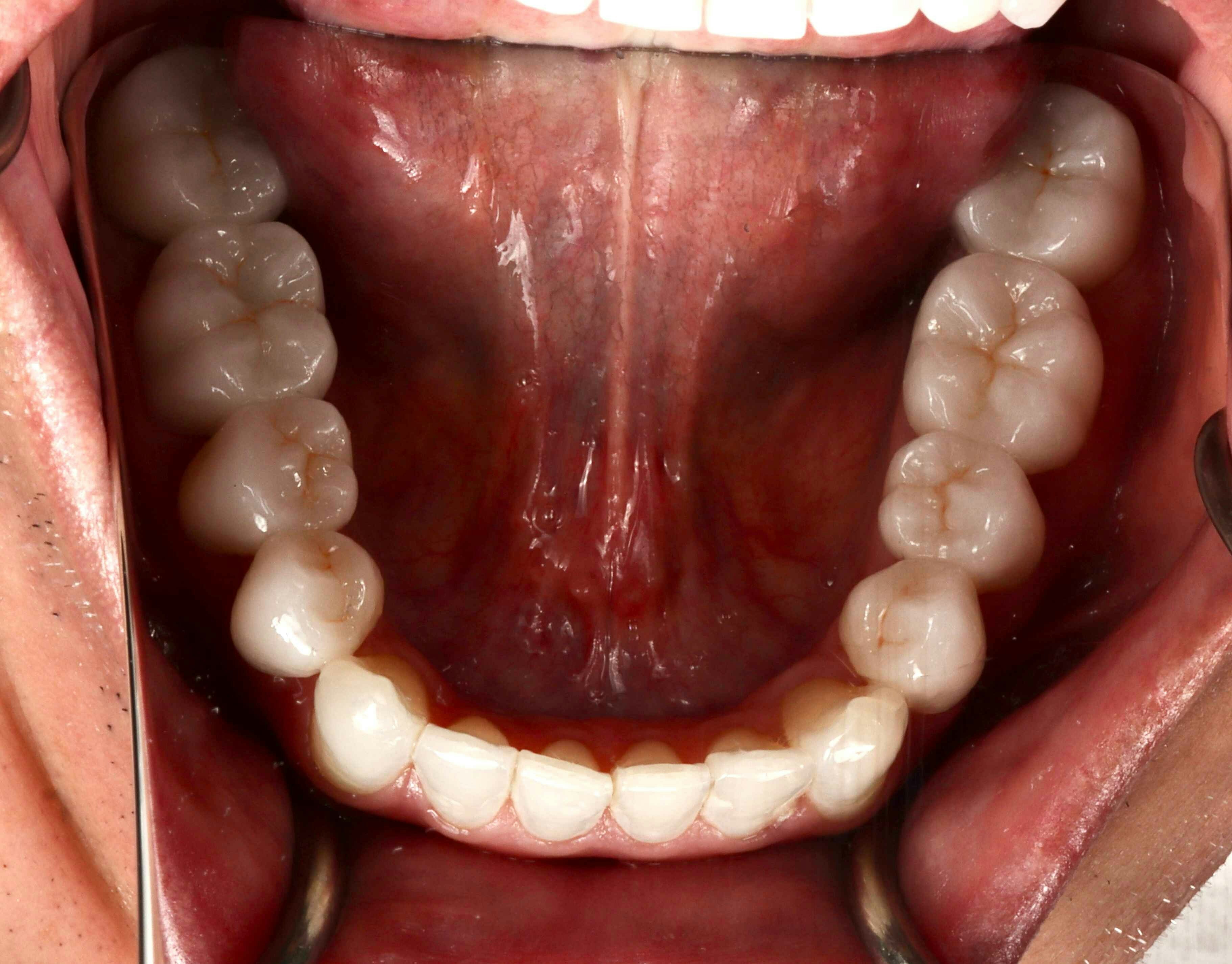
One of the main issues Harsha was dealing with was his habit of clenching and grinding his teeth. On top of that, many of his lower crowns were made flat, without the natural grooves and anatomy that teeth should have. These grooves and valleys are there for a reason, and when they're not properly included in dental work, it can lead to problems down the road.
Now, some people can adapt to porcelain crowns without the proper anatomy and not experience any issues. But for Harsha, that just wasn't the case. He needed a solution that would address the root of his problems and provide long-lasting relief.
That's where we came in! Our team developed a customized treatment plan for Harsha that started with Invisalign. Over the course of 8 months, we used Invisalign to gently shift his teeth into a more upright position. This helped to create a more balanced and comfortable bite.
Once the Invisalign treatment was complete, we replaced Harsha's lower crowns with new ones that had the proper anatomical features. This was a crucial step in ensuring that his bite would function correctly and comfortably.

To top it off, we also began administering Therapeutic Botox every 3 months to help control Harsha's clenching habit and alleviate his headaches. This combination of treatments has made a world of difference for Harsha, and he's now able to enjoy a pain-free, functional, and beautiful smile. If you're struggling with similar issues, don't lose hope! Harsha's story is a testament to the power of a well-designed treatment plan and the expertise of a dedicated dental team. We're here to help you find the solution that works best for you, so you can smile with confidence and live your life to the fullest.


