Lauren's Story
“My teeth look like myself, only better!” - Lauren
Lauren's Journey with Smile Code

When Lauren walked through our doors, her face was adorned with a hesitant smile, a glimmer of hope in her eyes. She had been referred to us by one of our beloved existing patients, and we knew right then that we had been entrusted with a sacred task – to transform Lauren's smile and, in turn, her life. The pressure was on, and we were determined not to let her down.
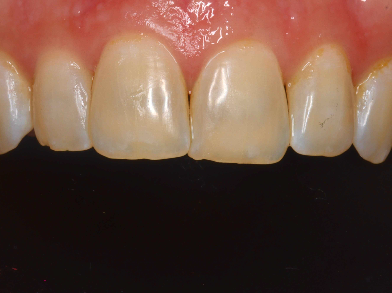
As we sat down with Lauren, she poured her heart out, expressing how deeply her smile had been affecting her confidence and self-esteem. She confided in us that her teeth appeared translucent as if they were fading away, and the loss of enamel had left her feeling self-conscious and vulnerable. We listened intently, our hearts resonating with her story, and we knew that we had to take action.
Upon examining Lauren's teeth, we couldn't help but agree with her concerns. Her enamel was indeed thinning, and it was clear that her smile needed a boost, a touch of magic that would bring back its luster and strength. We put our heads together, drawing upon our collective expertise and passion for creating stunning smiles, and devised a plan that would exceed Lauren's wildest dreams.
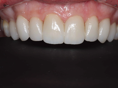
The answer lay in eight pristine porcelain veneers, each one meticulously crafted to enhance Lauren's natural beauty. These veneers would act as a shield, protecting her teeth from further enamel loss while simultaneously injecting new life into her smile. It was as if we were giving her teeth a much-needed dose of porcelain perfection, a transformation that would leave her grinning from ear to ear.
Throughout the process, we kept Lauren's desires at the forefront of our minds. She had made it clear that she wanted a smile that looked real, not like a set of perfectly uniform "chicklets" that would draw unwanted attention. We took this to heart, pouring our artistic skills and attention to detail into every single veneer, ensuring that they blended seamlessly with her natural teeth.
As the final veneer was placed and Lauren looked into the mirror for the first time, her eyes welled up with tears of joy. The transformation was breathtaking. Her smile, once a source of insecurity and doubt, now radiated with a newfound brilliance and authenticity. It was a moment we'll never forget – the realization that we had not only changed Lauren's smile but also given her a renewed sense of confidence and a fresh start on life.
Lauren's story is a testament to the power of a smile transformation. It goes beyond mere aesthetics; it's about reclaiming your self-assurance, your happiness, and your ability to face the world with a grin that says, "I'm here, and I'm ready to take on anything." We feel incredibly privileged to have been a part of Lauren's journey, and we know that her newfound confidence will carry her to incredible heights.

If you find yourself in a similar situation, hiding your smile behind closed lips and yearning for a change, know that you're not alone. Our team is here to listen to your story, to understand your unique desires, and to craft a smile that is as beautiful as it is authentic. With a combination of cutting-edge technology, artistic finesse, and unwavering compassion, we'll work tirelessly to give you the smile you've always dreamed of – one that will light up rooms, turn heads, and most importantly, make you fall in love with your own reflection.
So, take that first step towards embracing your true self, and let us help you unlock the power of a radiant, confident smile. After all, your smile is your most valuable accessory, and you deserve to wear it with pride. Trust us, when you see the results, you'll wonder why you ever waited so long to take the leap. Get ready to embark on a transformative journey, one smile at a time!


