Michael's Story
Michael's Smile: The Silent Transformation
Michael's Journey with Smile Code
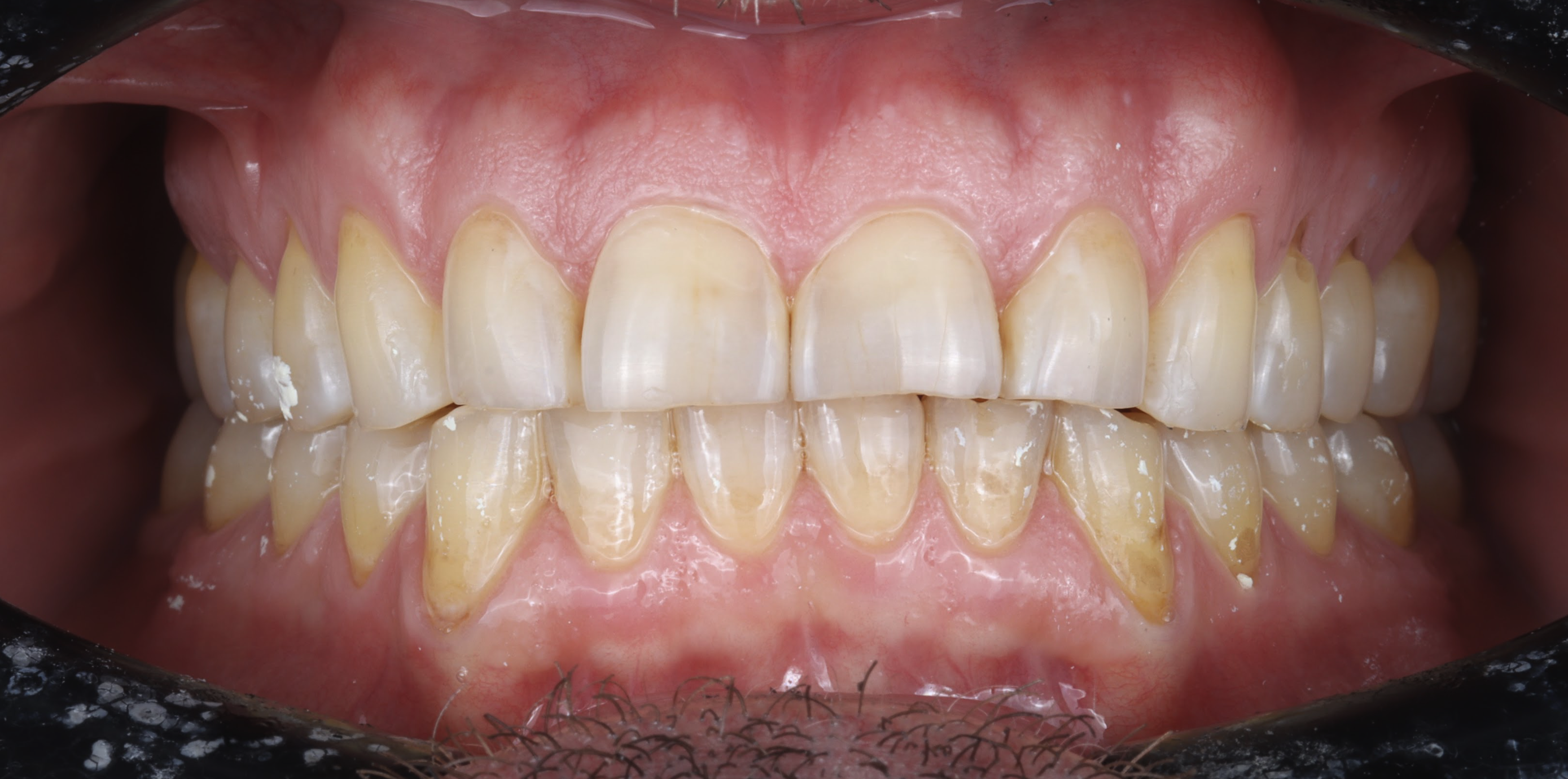
Michael embodied health. A picture of vitality with a zen-like calm, he was the last person you’d expect to harbor a lifelong insecurity.
Yet, beneath his poised exterior, a silent mystery was unfolding: his teeth were slowly, inexplicably wearing away. Despite impeccable oral care, no decay, no gum disease his smile was getting shorter and shifting. It was a baffling paradox for a man so attuned to his body.
The culprit? A hidden form of erosion. The very elements of his healthy lifestyle vibrant citrus, fermented foods, and sparkling water had, over time, gently etched away his enamel.
The Plan: Restore, Don't Reduce
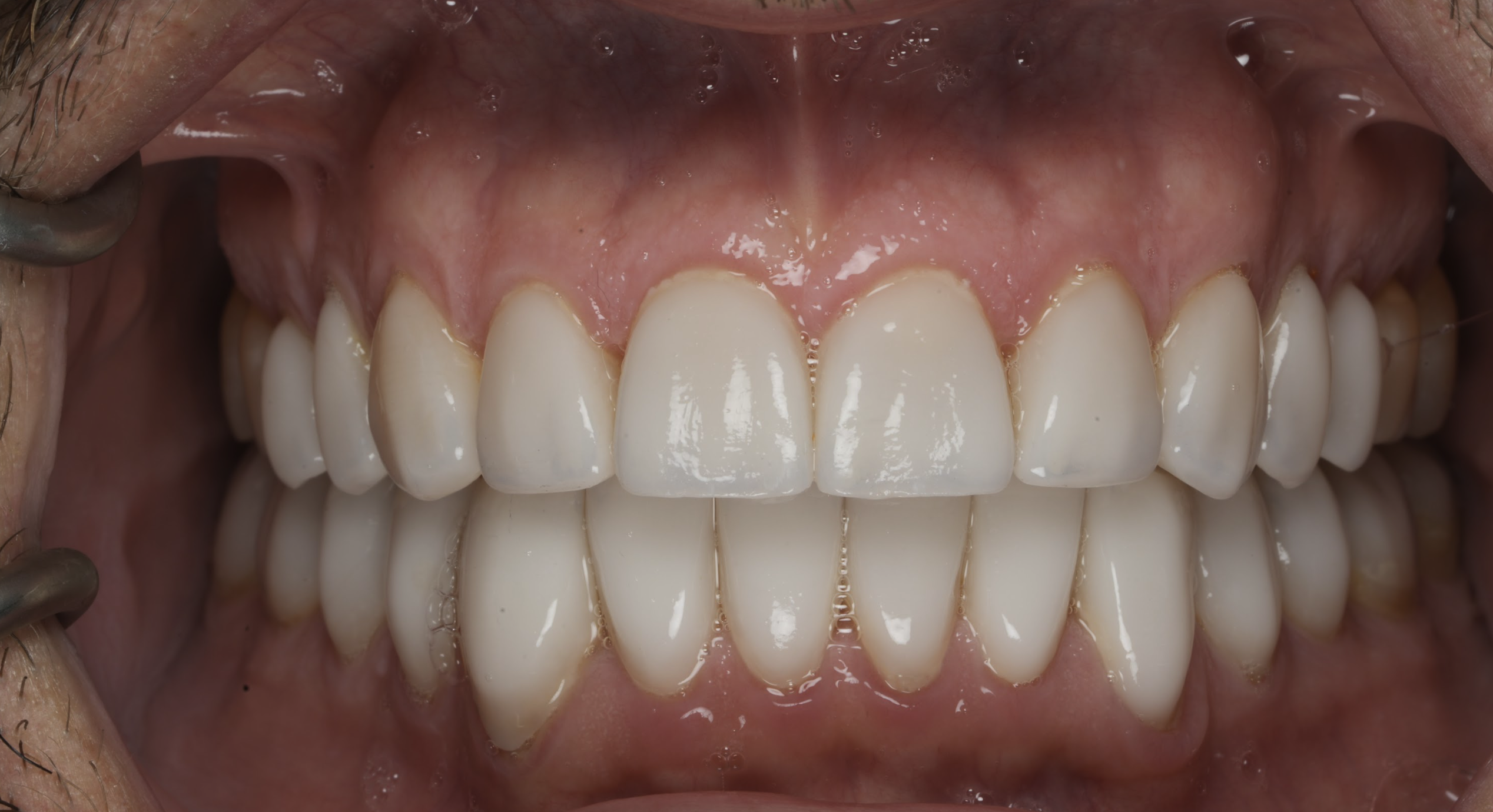
Our solution honored the health of his natural teeth. We first perfected his alignment with discreet Invisalign, creating an ideal foundation. Then, in a departure from conventional methods, we preserved almost all of his natural tooth structure.
With only negligible reduction, we artfully rebuilt his smile using strong, beautiful porcelain restorations, adding back what time had worn away.
The Reveal: Confidence Restored
The result is a smile that finally matches Michael's inner vitality. It’s not just a new appearance, it’s the confident, effortless smile he was always meant to have, free from the puzzle that plagued him for years. His journey is a testament to restoring what was lost, so the true self can shine through.
Allow your true self to shine through, and start your smile journey today.


