Virginia's Story
She decided it was time to become who she really is, let her inner radiance shine out.
Virginia's Journey with Smile Code

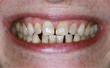
When Virginia first moved to NYC, she had been avoiding white shirts for many years. A well-meaning observer told her when she was just a teen that she shouldn’t wear white shirts because her teeth weren’t white. She has wanted to improve her smile ever since, but the process of getting veneers seemed so big and scary to her. She finally took the leap with NYC dentist Dr. Tabib in 2021 and is so pleased that she did! That fateful comment decades ago shaped how Virginia felt about her teeth and a little bit of how she saw herself in the world. She always felt that successful public-facing people needed to have perfect smiles and that she did not. It hindered her confidence and gave her a sense that she was missing something essential. Aside from feeling that the color of her teeth was holding her back, Virginia also had a diastema, or gap, between her front incisors. She received tooth bonding in her 30s to close the diastema and felt a little bit better about her smile, but she remained unhappy with the color of her teeth, which had become darker over time. When Virginia relocated to NYC, it was time to find a new dentist. Right away, she found NYC Smile Design. Dr. Tabib has been Virginia’s dentist for 20 years now. Over those two decades, she came to trust him, but she was still unsure about veneers. Each time she came in for her annual exams, they’d talk about it. She’d say, “Should I do the veneers this year?” They’d discuss whether to keep or lose the gap, he’d advise her, and she would get on with her busy life. This went on for 15 years.
Finally, as so many of us have during these pandemic years, she decided it was time to become who she really is, let her inner radiance shine out. Virginia didn’t want to get old and look back to regret not putting her best self forward. She thought about people whose smiles she thought were amazing, overcame her fears about it, focused on her trust in Dr. Tabib, and went for it! As they began the process, Virginia honestly still had some concerns. Would her “new” teeth be too white, the change too drastic? Would she still look like herself? To her relief, after all the photos and scans, she would receive temporary veneers. This would give her a chance to wear them for a few weeks and see how she liked their look and feel—the color, the shape, the spaces between.

Next came the final veneers, ten upper and six lower. By now, after trying out the temporaries, and discussing and tweaking with Dr. Tabib, she felt the veneers had been sculpted just right. Her fears were allayed, and the veneers looked natural. She experienced some sensitivity at first, which faded away completely after a couple of weeks. Now Virginia is left with a beautiful smile that she loves, teeth that capture the light and sparkle, and newfound confidence. She now sees her teeth as feminine and healthy-looking. She has tried on a few white shirts at home, and you may even see her out one day wearing one!


