Dental Implants: Valerie
Description
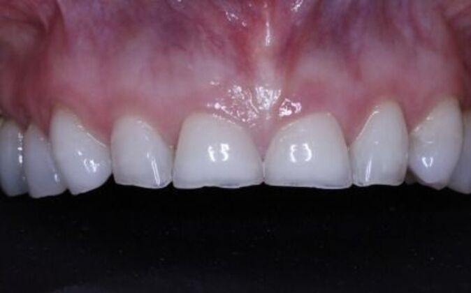
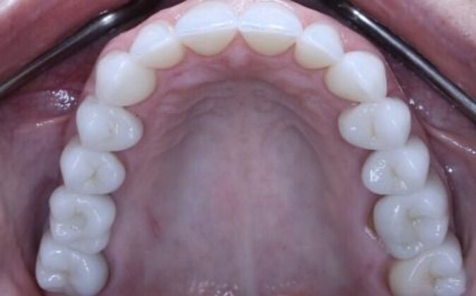
Severe erosion of teeth and loss of vertical dimension. When you lose so much enamel through acidic erosion over the years the first thing you notice is the teeth getting shorter and shorter. Then you notice your teeth getting darker as the white protective enamel melts away. As the teeth get shorter so will the lower 1/3 of the face. You see it with the elderly when they lose their teeth which renders their face with a crunched down look. This is called loss of vertical dimension of the lower 1/3 of the face. You see it in older population and more and more we are seeing it in younger population. As teeth erode due to acidic erosion or severe grinding and clenching the vertical dimension of the face is altered permanently. We cannot reverse what’s lost or regain enamel surface at the present moment but we can regain the vertical dimension by reestablishing with porcelain crowns and veneers at the height they were intended. Here is a case where we did just that. Dental implants were placed to replace missing teeth and the teeth were lengthened with porcelain crowns.






