Gum Contouring: Amanda
Description
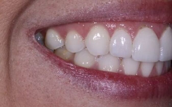
Amanda Knew exactly what she wanted: replacement of her existing veneers. Amanda had originally received her veneers a few years back, and she never liked them. She felt they were too bulky and artificial-looking. She had visited us about six months earlier, but had been unable to start because of her busy schedule and travel. When she was ready to begin, we knew exactly where to start, since we had originally planned her treatment in detail during our initial consult. We began with balancing her gum line position. We cannot emphasize enough the importance of this step, too often overlooked. Without proper gum display, beautiful veneers will appear less than stellar. As a matter of fact, the final outcome may not enhance the smile and may actually detract from it. Once this procedure is completed, we can start the process of preparing the teeth for veneers. Amanda was so pleasant to work with. She really had a beautiful personality! Her cheerfulness always made everyone in the office feel great. In truth, our best work, those we love to showcase on our Web site, are always displayed by clients just like Amanda. Needless to say, Amanda was as happy with the final outcome as she had been during the treatment process. She shared the news that her husband is now interested in replacing his veneers. Since her husband is one of the hosts of the Inside Edition TV show, and on-camera for his appearance, we agreed that his close-ups would benefit immensely.







