Dental Crowns : Emyleen
Description
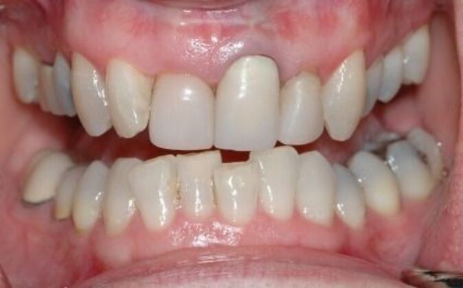
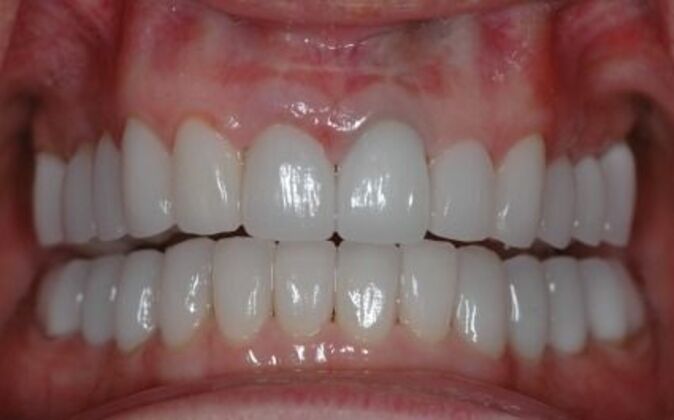
Emyleen never felt comfortable with her smile and had been reluctant to smile in public for years.But, having emigrated from England years earlier; she knew that the English, known for loving sweets, were also known for having bad teeth. In America, she admired people who had perfect smiles and hoped to someday improve hers. Emyleen had extremely over-crowded teeth; her upper front teeth completely covered her lower front teeth, which only made the crowding worse. As a result, her jaw was in an incorrect position and needed to be moved forward and down if her bite was to achieve a perfect alignment. Not only would this new alignment improve her facial aesthetics, but it would also improve her facial muscle stress, pain, and clenching/grinding habits. Left untreated, they could have lead to fractured teeth. Emyleen’s complete reconstruction would involve different modalities of treatment to reach the final desired outcome. First, orthodontically, her teeth had to be repositioned to achieve correct alignment. Once that had been achieved, we were then able to reposition her gum line to create the desired balance and symmetry. Upon completion of these two goals we determined her new jaw position and placed porcelain crowns on all her teeth to support this idealized and corrected jaw position. This whole process was completed in about one year. We were confident that the work would succeed, and after years of being sad about her smile Emyleen could hardly believe how beautiful it had become.





