Dental Crowns : Patrick
Description
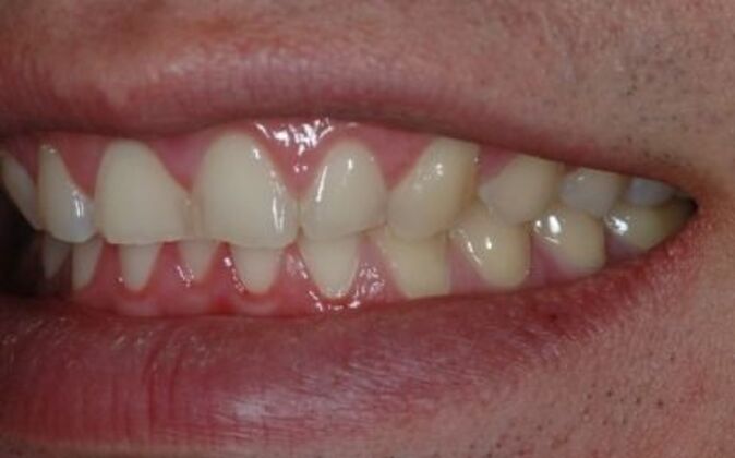
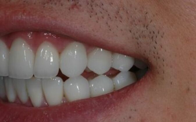
Although Patrick was only in his late 20s, he had already been treated with bite guards for jaw joint pain and teeth grinding. The biteguards were used to minimize his discomfort and to control the damage to his teeth caused by his teeth grinding. However, Patrick was really unaware of the extent of his dental breakdown–between 30%-60% of his total tooth structure had been lost. The protective enamel layer that helps to slow down the process of erosion was almost gone. And, because of the extensive enamel loss, the underlying dentin had been exposed; being much softer than enamel, it eroded even faster–causing his teeth to become very sensitive to hot and cold food and drink. It was a falling domino effect that desperately needed treatment. With a patient as young as Patrick we needed to be extremely assertive in our treatment plan, as this condition–left untreated–could completely debilitate him as he got older. So our plan for Patrick was for a full-mouth reconstruction at a position, determined by careful study to be the most comfortable for his facial muscles and joints, that would also allow us to replace (with porcelain) the extensive tooth volume that had been lost. We restored all of Patrick’s 28 teeth with porcelain crowns, created a smile that was both natural and aesthetically pleasing, and made it possible for him to be comfortable eating and drinking again, no matter what the temperature. Now he actually enjoys using his teeth, without having to make them the focal point of his life.







