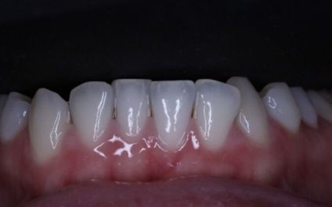
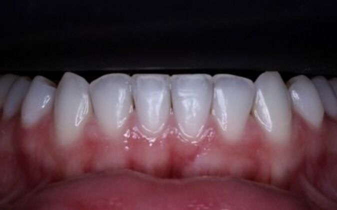
Invisalign: Alicia
Description
Less is more. Here is a good example on how we were able to reach our objective utilizing a very conservative approach but a significant improvement in patients self confidence. This case was initiated with Clear Aligners to straighten her teeth and once we reached our objectives which took only six months of treatment some minor laser gum lift was done on a few teeth to properly align the gums.







