Invisalign: Pablo
Description
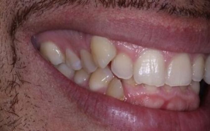
Pablo’s career as a personal trainer was really beginning to take off, but he felt that his smile was holding him back from achieving his ultimate potential. When he talked to clients, he was sure they noticed that his teeth were tightly crowded together. In fact, his upper and lower arches had collapsed, preventing the teeth from fully erupting into the correct alignment. The narrowing of his arches also showed signs of affecting his breathing at night, and generally prevented proper airflow. So Pablo’s dilemma wasn’t just a cosmetic concern. His quality of life was being affected, which—if ignored– could lead to health issues. Normally, we would treat his severe crowding with full bracketing and braces. But in Pablo’s case, we decided to push the limits of Invisalign. Pablo could not have been happier, since he wanted to avoid conventional braces if at all possible. We were able to complete his Invisalign in about 18 months. He was able to take his career to the next level, and there was a bonus: he also got engaged by the time his treatment was done. While we don’t feel we should take credit for the bonus, we did wonder if Invisalign could be a matchmaker…







