Invisalign: Isabel
Description
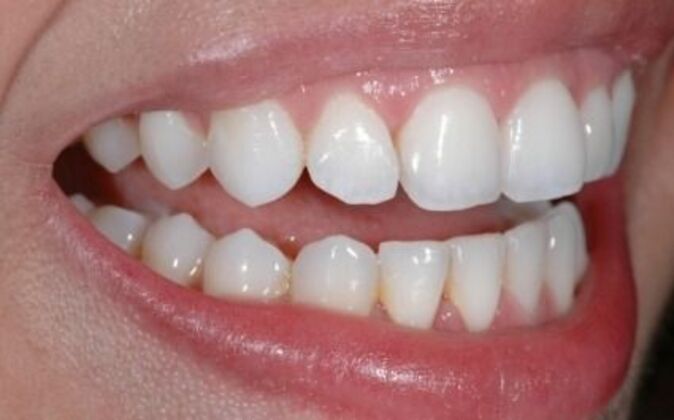
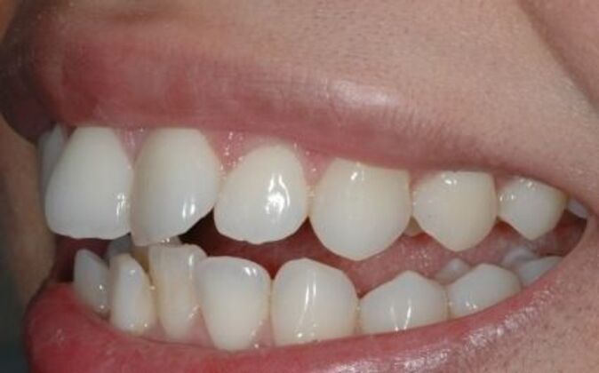
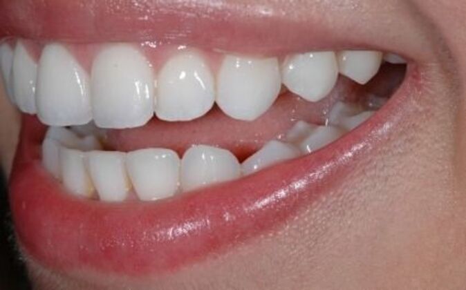
Isabel is an outstanding music theater singer and recording artist who needed to make sure that perfecting her smile would not affect her singing voice. After consulting with her, we decided not to opt for veneers, but to use another technique to achieve her goal.The best option for Isabel was to slowly move her teeth into the correct position using Invisalign. Invisalign aligners are clear (and therefore invisible). Every couple of weeks, each aligner is replaced with a new one, which is responsible for a small incremental movement. So, for Isabel’s needs, we were able to customize each aligner for extremely small, fine-tuned alginments. This would give Isabel a chance to try it the new position out, to evaluate the results, and to see if there were any untoward effects. This proved to be the perfect scenario for Isabel — she was able to gauge her progress and whether it affected her singing. As planned, her teeth were perfectly realigned in about eight months, with absolutely no effect on her beautiful voice.







