Full Mouth Reconstruction: Jen
Description
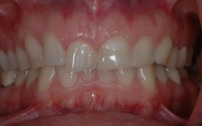
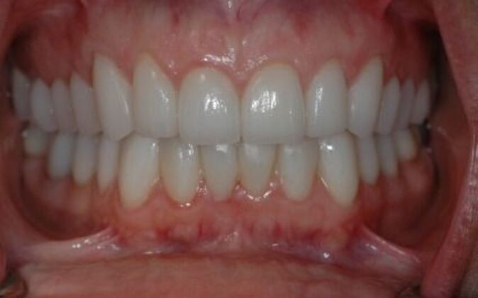
Jen’s problems, when she came in to see us, seemed small: a yellow and uneven smile. But it had become more noticeable over time, and Jen was distressed that her teeth were chipping and had become much shorter than they had been. One of her good friends had had successful veneer treatment at our office, and Jen hoped to look that great, too.Through a preliminary interview process, and a careful and thorough history-taking, we discovered that there was more to Jen’s problems than she had realized. Her teeth had become chipped and uneven because Jen had been grinding her teeth at night for quite a while –and had not only lost one-third of her tooth volume, but was also experiencing daily headaches and neck pain as a result. She was even carrying around Motrin in her handbag to treat the pain. As is often the case for many chronic pain sufferers, Jen assumed the pain was normal — part of her stressful life as a busy mother of three. We realized that the pain was part of the dental problem, and drew up a comprehensive treatment plan that would address both her aesthetic concerns and the damage that had taken its toll on her jaw joint, facial and neck muscles. The plan included a full-mouth restoration of her broken teeth to bring them to a position that would be more stable and comfortable for Jen, and make them part of an attractive smile in the bargain. The new position was tested out in temporaries that showed Jen just how beautiful her teeth would look with their new veneers. We also made a guard for her to wear at night to prevent her grinding. At the end of her treatment, we had restored Jen’s lovely smile, alleviated her daily headaches, and made her jaw joint, muscles, and teeth healthy again.





