Full Mouth Reconstruction: Ted
Description
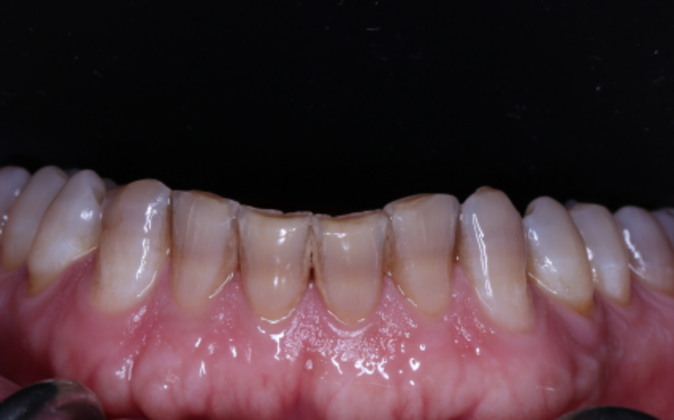
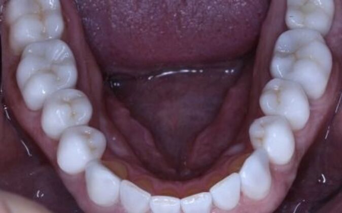
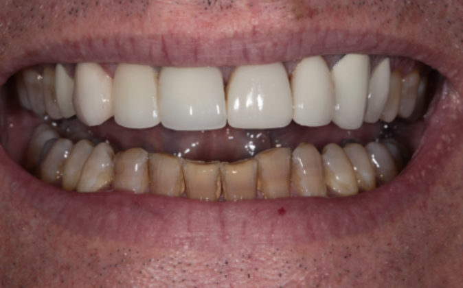
Options for severe tetracycline staining of teeth have always been limited. Usually teeth are covered with very opaque porcelain that gives an appearance of chalky white teeth. In this case you can see that the upper teeth have previously been restored with porcelain caps. Initially client was thrilled as it covered the black and brown internal staining. But after 15 years of service he was looking for options that could improve his condition and address all his teeth. In this case patient wanted all the teeth to be done and the biting surfaces of lower teeth to be covered as well so when he smiles you can’t see the discoloration from biting surface to veneers on facial side. We decided to vertically open the bite by making the lower teeth taller. This solves two problems. 1-biting surfaces are now covered with porcelain 2- biting surfaces are minimally prepared accomplishing conservative and least destructive preparations. we were able to reach an outcome that not only addressed the patients esthetic desires it also improved function with exacting anatomical forms.









