Full Mouth Reconstruction: Natasha
Description
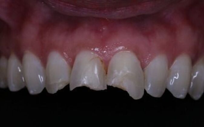
We have enjoyed the diversity of our patients and the many medical challenges we have eased them through since we opened our practice in 1994. We have been proud to celebrate their transformations and the life-changing confidence we have helped them achieve and each one of them has remained unique for us. But we have never had a patient like Natasha, nor been more gratified by the help we’ve been able to give her. Natasha was brutally attacked by a complete stranger as she was on her way home one evening. He chased her, screaming, as she left a Starbucks, punched her, and knocked her down to the sidewalk. She fell forward, smashing her face on the unyielding cement, breaking bones in her face and fracturing four of her teeth, then blacked out for a few minutes. The attacker was pulled off her, still screaming, as people came to her aid. An ambulance arrived to take Natasha to the hospital. The whole thing had happened in moments, yet would have long-term consequences for her. Natasha was still in shock the next morning when she went home, and the pain of her injuries was hard to bear. But much worse than the bruises and fractures was the psychological trauma caused by the violence of the attack; it lingered for months even as her face began to heal. When she became aware that the fractured teeth were still aching and also preventing her from speaking normally, she knew she would have to find a way to have them treated. We were pleased to be able to help her and knew she would need two root canals and four porcelain veneers to restore her teeth and her appearance; it was particularly important because Natasha works in a law office, but is an aspiring actress—scheduling auditions with impaired speech and fractured teeth was not an option. Natasha is gradually coming back to herself, to the charming and attractive young woman she was before she was attacked. Although there are still moments when she feels the memories of the ordeal shadowing her mood, they are fewer and less threatening. Having been able to provide her with emotional support as well as the dental procedures she needed to regain her confidence has been extremely gratifying.







