Full Mouth Reconstruction: Risa
Description
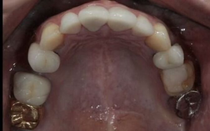
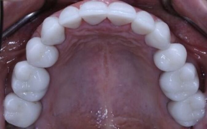
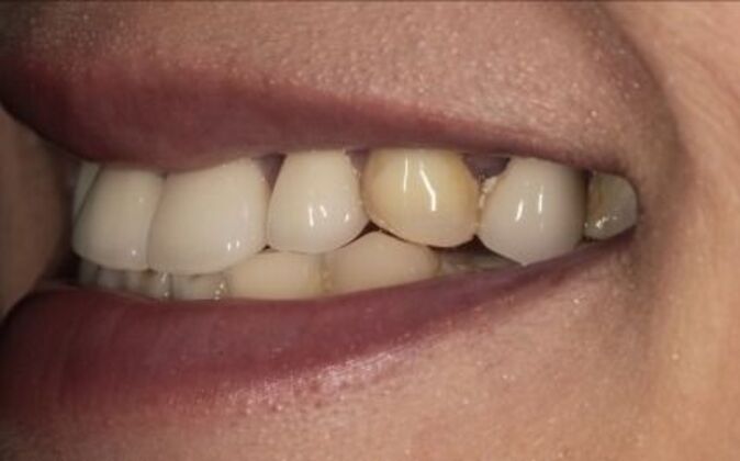
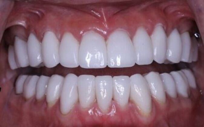
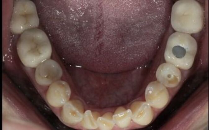
Full mouth reconstruction. When you see a client at a young age with so much dental work to begin with you consider your options carefully. You need to be aggressive in approach and conservative in maintaining as much of the healthy tooth structure. Have to consider the age of a patient whenever you embark on a major dental work especially when it involves redoing everything, repositioning and re-establishing a brand new bite position and correcting the inflammatory gum response from previous dental work. You cannot approach a case like this with a limited treatment plan that only addresses a few teeth. If this case is treated one tooth at a time you may leave the patient a “dental cripple”. By that I mean that this patient will constantly be at dental offices for the rest of her life addressing one broken down tooth after another until a cascading domino effect will render all the teeth in a hopeless condition. Here is a situation where we are dealing with multiple problems 1-bite collapse and malfunction 2-gum disease exacerbated by poorly fitting crowns 3-decaying teeth affecting the health of the roots This case had to consider all of these issues. Must understand that this patient is very young and has many years ahead of her so the dentistry has to be done meticulously, conservatively,aggressively and expeditiously. It’s a tough balancing act but as dentists we need to be realistic about our treatment objectives and have a proper plan that addresses dental breakdown. We were able to achieve the esthetic and functional concerns of the patient. Although we felt the color of the teeth were too bright. We do need to consider patients desires since they need to live with this for the rest of their lives and ultimately they need to be happy













