Full Mouth Reconstruction: Nicole
Description
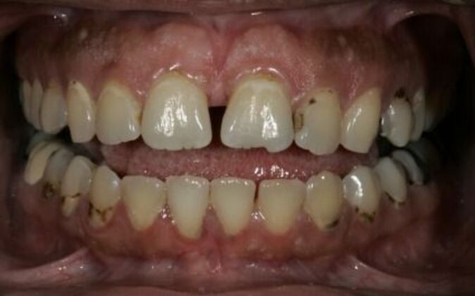
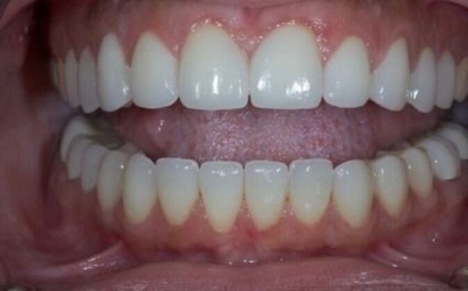
Nicole came for a consult in our office knowing that she needed quite a bit of dental work. As an engineer in an electronic firm with an extremly busy work schedule Nicole could never find the time to take care of her mouth. Nicole also mentioned that she had neglected her mouth as a direct result of terrible experiences in the past. However, she knew it was time and wanted to have her smile done right once and for all. Nicole needed a full reconstruction of her mouth while at the same time establishing a better inter-digitation of her upper teeth with the lower. The destructive breakdown that was occuring in Nicole’s mouth was partially the result of an open bite in the front of the mouth. When this occurs the forces on the back teeth is magnified especially when there is actual decay and breakdown of the teeth. Our treatment for Nicole entailed a full mouth reconstruction with a combination of pocelain veneers and crowns and re-establishing a better bite relationship.





