Full Mouth Reconstruction: Piret
Description
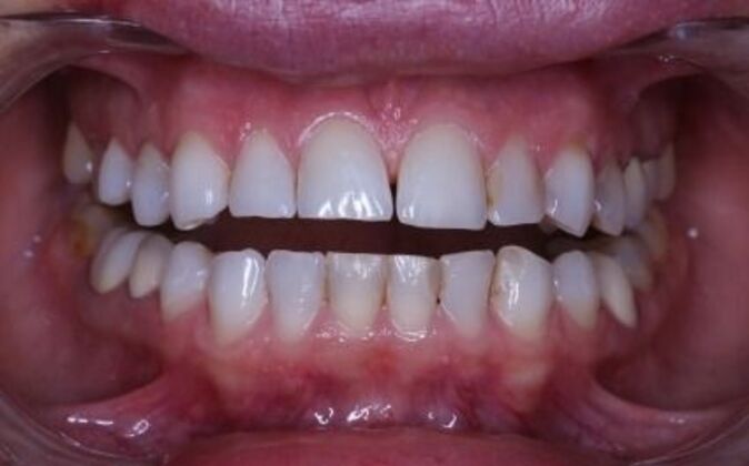
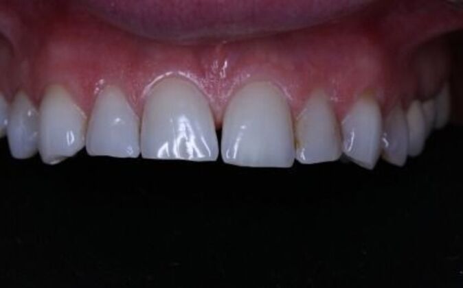
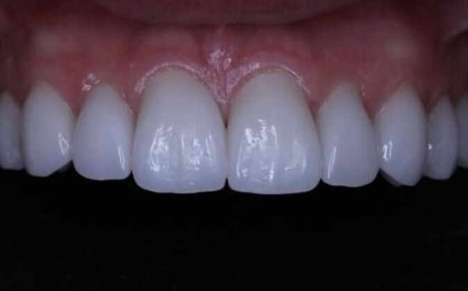
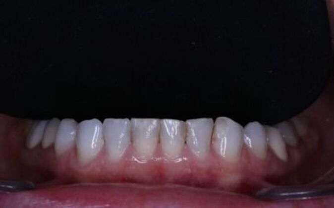
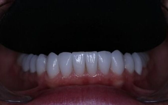
For anyone who reads the New York Times or the top fashion magazines, it’s clear that eyebrows are “in”. So for Piret, a successful eyebrow specialist (or Eyebrow Doctor), any spare hours are a rare luxury. She travels between her offices throughout the USA and is always on the move, making sure her clients have the perfect eyebrows to complement their looks. Finding time to achieve the perfect smile for herself was next to impossible. But it was clear to Piret that there was work to be done; she had visited several dentists without ever spending the necessary hours to take care of her issues. Over the years she had developed a variety of serious dental problems as she neglected her teeth to build a thriving career. In fact, her teeth had started to crumble, and the lower third of her face was shrinking as her jawbone diminished. During our consultation with Piret, we learned that her bite would have to be rebuilt and vertically enhanced in order to lengthen her face to its natural position and prevent further damage. When teeth begin to break down, muscles work harder and harder to close the jaw higher up in the face. As the muscles struggle harder to do their job they cause premature aging of the face as they pull on the skin and induce it to wrinkle. It’s the dental equivalent of falling dominoes. To correct Piret’s problems we increased the length of both her upper and lower teeth to support her facial muscles, aligning them to their original dimensions and allowing them to work as they should. Piret made time for her full-mouth reconstruction and understood why it was so important to her future and her health; she’s back to her career with more energy and confidence than ever, enjoying the perfect smile to match her perfect eyebrows.











