Full Mouth Reconstruction: Saif
Description
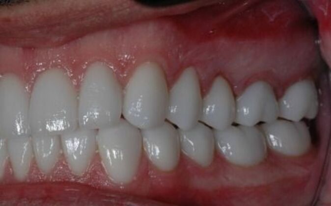
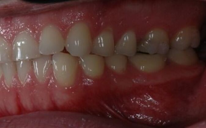
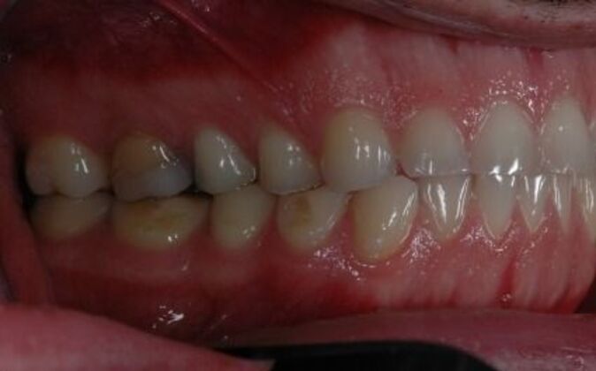
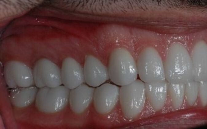
Erosion of enamel surface of teeth can be caused by EXTERNAL ACIDS such as drinking excessive acidic beverages ( carbonated beverages, lemon or orange juice), medications, environmental acids, swimmers who work out regularly in pools and occupational wine tasters. Erosion of teeth can also be caused by INTERNAL ACIDS, such as regurgitated gastric acids and excessive vomiting. Saliva’s buffering capacity can resist the changes in the acidity by neutralizing it. Due to varying factors the saliva can be overwhelmed by the acids and the enamel surface of the teeth may slowly erode away. Saif had mentioned to us that he has always been a heavy drinker of carbonated beverages since he was a child. More than likely this has contributed to Saif’s excessive tooth erosion by the age of 25 and that’s when he came to see us for a consult. Our treatment for Saif was complete reconstruction with porcelain coverage on every tooth. Unfortunately there are no alternative treatment plans that can be proposed and if we were to do nothing the erosion of Saif’s teeth would continue as he had lost more that 50 percent of his enamel on some teeth which had exposed the underlying softer and sensitive dentin. A month after Saif’s reconstruction was completed his response was “I’m absolutely loving it and I haven’t stopped talking about it”.







