Smile Makeover: AJ
Description
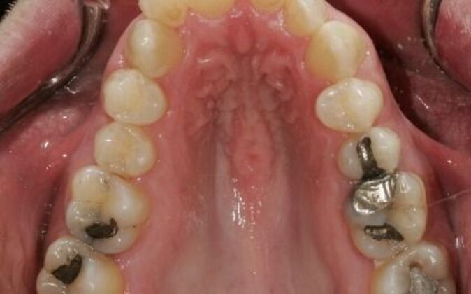
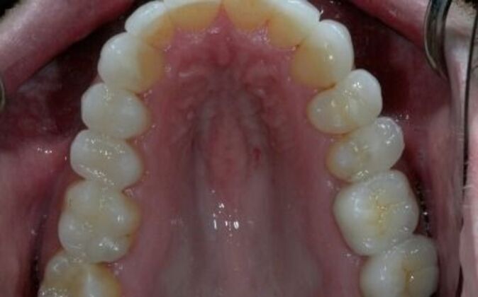
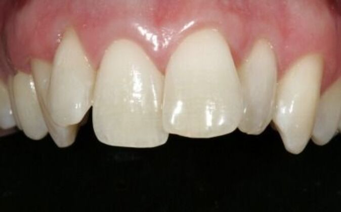
By the time AJ visited us for a cosmetic consult he had pretty much given up on improving his smile. He had seen other cosmetic dentists and he wasn’t satisfied with their recommendations. Basically, what they had presented to AJ was surgical palatal expansion of the upper jaw- something he was not at all interested since it involved a surgical process and orthodontics afterwards. Needless to say this was not a bad option it was just not an option for him. AJ had an extremely narrow upper arch, so narrow in fact that all the upper back teeth were tipping inwards and his teeth were extremely crowded. Also, his smile was very gummy. What we were able to accomplish for AJ required sequential treatments. 1st, orthodontics was used to tip the back teeth in a better position and align the teeth properly. 2nd, a laser gum lift was done to reduce the impact of the gummy look. Now that the framework of AJ’s mouth had been established we were ready to place 10 porcelain veneers on his teeth and replacement of silver fillings with porcelain onlays.







