Smile Makeover: Ashlea
Description
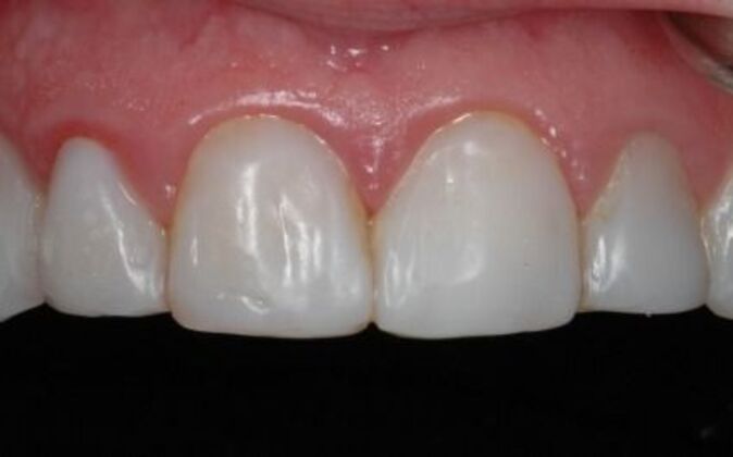
Being behind the scenes at TimeOut magazine is one thing. But, when you’re also appearing on TV and news programs as part of your job, you become concerned with appearances. And Ashlea was particularly concerned about her smile. The imperfections on her front teeth–staining and discolorations–had been masked with bondings which caused more problems than they concealed. They looked like “chiclets” and, worse, had severely irritated and inflamed her gums because they had been placed too far below her gumline. So we had two jobs to do to give Ashley the look she needed. First, we corrected the gum position, to both reduce the gummy appearance of her smile and to create a healthier gum environment for the future. Within four weeks of her gum treatment, we prepared her six front upper teeth for the new porcelain veneers that concealed her discolorations and gave Ashlea a smile of the right porportions. Now Ashlea goes on camera with confidence, knowing she has nothing to worry about.





