Smile Makeover: Nick 2
Description
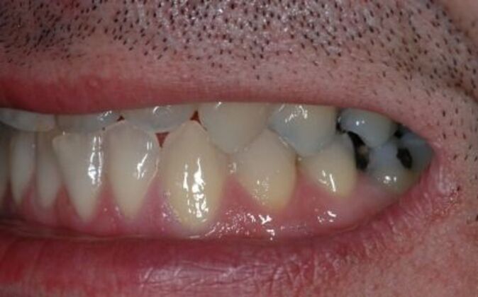
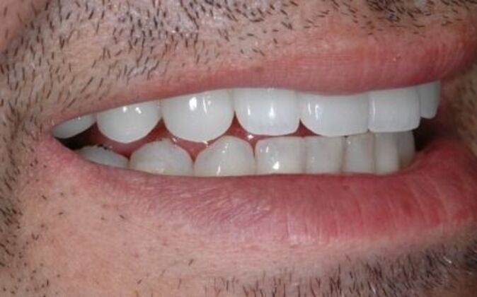
A radiant smile always hints at youthfulness, but Nick’s smile made him look older than he was. The muscles around his mouth were so tight that, even when smiled, his upper lip hardly moved — covering his upper front teeth so that he looked almost as if they were missing. Of course, they were all there. But just lengthening them with standard veneers alone would have been a recipe for disaster, because Nick had a second problem that actually interfered with the solution to the first: his lower teeth were jutted out, crowded and rotated. Had we veneered the uppers, they would have fractured from the pressure of the skewed lower teeth. So, first things first: we had to move the lower teeth inwards and straighten them before dealing with the uppers. Using Invisalign, we achieved excellent results in seven months. Then we were ready to lengthen the uppers by placing veneers on ten of them. They had to be extra long, however, so that, when Nick smiled, they would give the illusion of perfectly-proportioned teeth. This decision was especially important in Nick’s case because, as we age, the upper lip droops down further, covering more and more of the front teeth over time. Now Nick has the youthful, expressive smile he has always wanted. “For the first time in my life,” he told us, “I feel comfortable with my smile!”







