Smile Makeover: Andre
Description
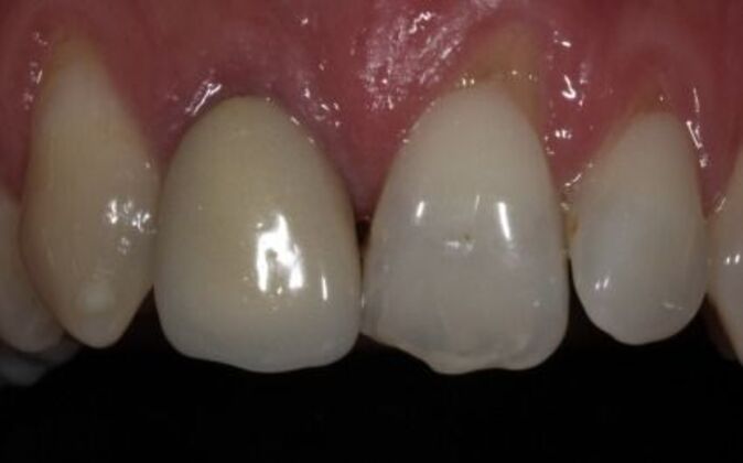
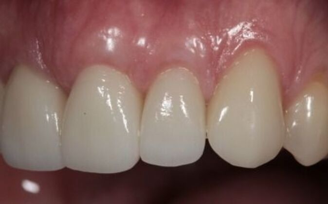
This was an extremely complicated and challenging to overcome to reach a desired outcome. Here are the challenges that we overcame. 1-on the left side of picture the canine is in the wrong position 2-gums have receded severley on most teeth. 3-dark crown in the front with dark roots underneath. After gum grafts were completed and a period of 8 months of waiting till the gum architecture fully formed and matured, a combination of five porcelain veneers and one porcelain crown was placed to complete this smile makeover. We have seen cases similar to this that have been treated without regard to the position of the gums with disastrous results. If you rush these cases to completion there will never be a beautiful outcome and the results that are achieved will never be sustainable longterm




