Smile Makeover: Nick
Description
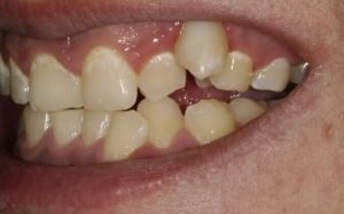
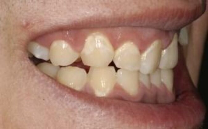
When Nick came to see us for a consult he mentioned how his smile really affected his confidence. Nick’s teeth were very crowded and his left eye tooth was too far up and not in biting position. The eye teeth (canines) are pivotal and they need to be in the correct position. If they are not aligned properly a variety of problems can happen. In Nick’s case, these included TMJ problems and overuse and wearing down of the front teeth. Nick’s makeover was more involved and required 3 phases to complete. The 1st phase was to align his teeth in an ideal position with braces. The 2nd phase consisted of aligning the uneven gum levels with laser gum recontouring to create better symmetry. 3rd we placed 8 laminates to regain the proper tooth shape and color that was lost.







