Smile Makeover: Debra
Description
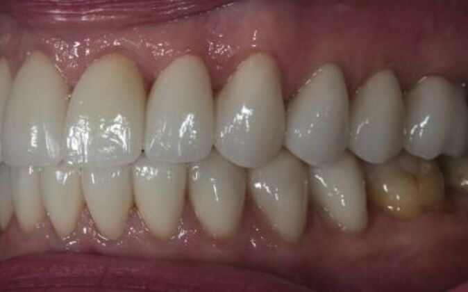
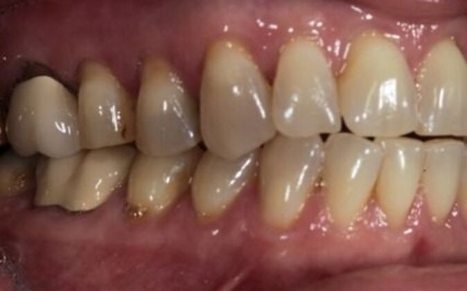
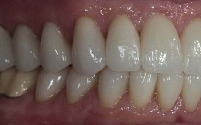
What is the first thing that goes through your mind when you need to get ready for a wedding? What to wear? How should I do my hair? What about when you are getting close to the date of your sons wedding? Obviously, this is a great time of joy and happiness, and to express that joy and happiness with a radiant smile. But what if you have serious doubts about your smile? If you were never excited about your smile to begin with, and felt uncertain and worried that you would not be confident about revealing it as readily as you should on this important day in your sons life, you’d have to do something about it. Fortunately for Debra she came to see us well in advance of the wedding, seeking a solution to her problem: she had to find a way to stop holding back her smile. When we discussed the option of veneers and showed her examples of our many patients with problems similar to hers that had been solved with veneers, we could see that she was enthusiastic about the possibilities. Knowing that the treatment will be successful is very empowering for a new patient. Our plan for Debra was to place a combination of crowns and veneers on 12 teeth on her top arch and 10 on the lower. Its safe to say that Debra was elated with the outcome and looking forward to smiling through her son’s wedding celebration. Now her husband has come to see us for a consult to find ways to improve his smile.







