Smile Makeover: Kathy
Description
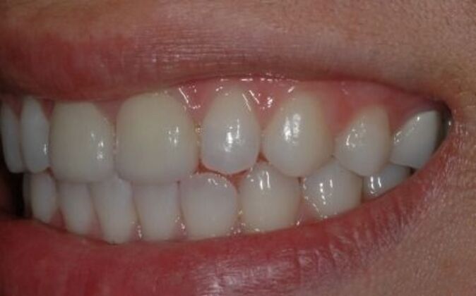
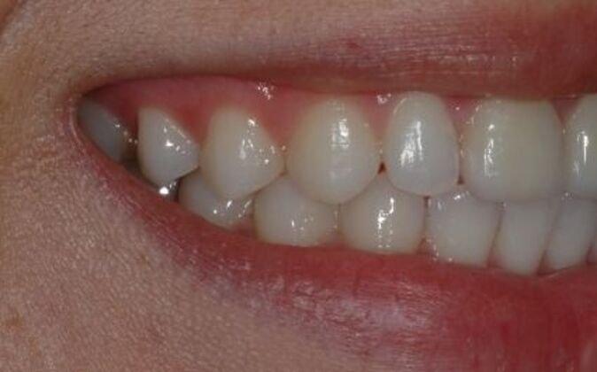
As an up-and-coming actress, Kathy knew she needed to improve her smile — and her agents had been reminding her to make plans for the improvement. After seeing TV commercials for snap-on teeth, she decided to give them a try. It seemed so simple! But, like so many seemingly quick solutions, it became more complicated. When she put them on, they were actually so bulky that they looked artificial and caused her difficulties in speaking. Four thousand dollars later she arrived at our office for a consult. The real problem — that Kathy’s front teeth appeared too large for her face –was mainly due to the uneveness of her gum levels. Her gum line dropped off precipitously on her back teeth, in relation to her front teeth, contributing to the imbalance in teeth size (big in the front and very small in the back). Our plan for Kathy included correcting the gum line with a gum lift. Once we were completely satisfied with this new position, we proceeded to prepare for 10 perfectly proportioned upper, and 10 lower, porcelain veneers. Kathy loved her new, natural-looking and really comfortable smile and, with her improved confidence, her agents booked for more auditions than she’d ever dreamed of.







