Smile Makeover: Jerry
Description
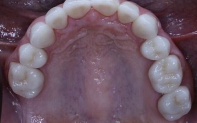
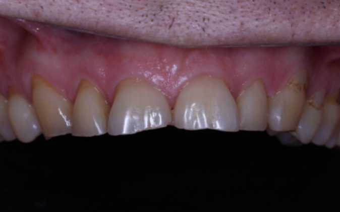
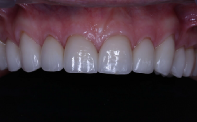
Is a mouthful of porcelain mainly cosmetic? Are there benefits to be gained restoring a whole arch with full coverage porcelain? Am I removing good tooth to gain a cosmetic outcome? These are the questions that every restoring dentist should answer before placing a patient in an irreversible situation. In this case where the enamel of the teeth is so severely destroyed whereby the underlying layers are getting exposed, the choice is clear. Enamel is the hardest substance in the body and meant to take abuse. However, if the enamel is deteriorating and the underlying dentin which is softer gets exposed clearly this is not sustainable for a long period of time. The choice for a full mouth reconstruction is clear in this case. In restoring this case it is also vitally important to respect what is left and maintain a minimally invasive approach while preparing the teeth to accept the porcelain restorations.







