Veneers: Ann
Description
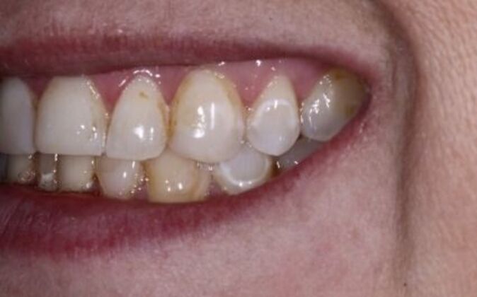
One of the constants of Ann’s adult life was her quest to improve her smile.Her self-consciousness about its flaws had made her uncomfortable in public for longer than she could remember. Of course she had tried several times to find ways to improve it, but they were never enough to make her feel self-confident. Repeated attempts to remedy the problem with bonding had resulted in surfaces that had begun to yellow and darken, only magnifying the problem. She had even tried having porcelain veneers placed on two of her teeth—but they were too small in relation to the rest. While the many procedures she had opted for were always done in good faith, they never made the impact she was hoping to see. Eventually, she lost her trust in the promises that were made to her before each new attempt and found herself feeling hopeless about the situation. Finally, after several friends had recommended our practice, she decided to come in for a consult. She had taken the time to look at the Smile Gallery on our Web site and told us it made her feel hopeful that, this time, the results might be what she had longed to see for so many years. She also understood that for the impact she desired she would need veneers for many of her teeth. Our plan for Ann was to place 20 veneers — 10 for her upper teeth and 10 on her lower arch. We would also correct the misalignment of her gums with a laser gumlift that would create a gradual and harmonious curve for both her upper and lower gumline. The results were a totally natural-looking smile in which her teeth were perfectly sized and her gums perfectly curved to match them. It had taken Ann five years and considerable trial-and-error to get the results she had wanted. Her response was to tell us she wished she had known about us at the beginning.







