Veneers: Dale
Description
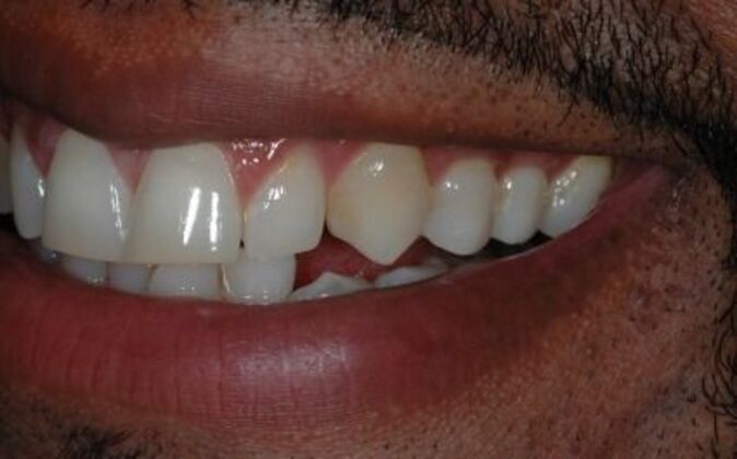
Dale, a budding jazz musician, could play three instruments with confidence. But his smile didn’t equal his jazz skill, and he felt it was holding him back from the top of the music world. His upper teeth were misaligned on the slant, and the sizes of his teeth were not proportional to his facial structure — there was no balance or symmetry. And there was more: Dale’s lower teeth were extremely crowded, and the highest point of his lower front teeth was much higher than the highest point of his back teeth (see the start photo). As a keyboard and bass guitar player, the smile he wanted would have been a plus. But as a saxophone player, Dale felt that braces or Invisalign were not options that would make sense for him, because they would interfere with the position of his mouth and lips necessary for the coolest sounds. So he needed to explore other options. We were able to offer Dale a plan that would both correct his smile and allow him to keep playing his best: we placed 10 porcelain veneers on his upper teeth, and four more on his lower front teeth, and provided him with the confident smile he’d wanted — his new passport to the top.





