Veneers: Shawna
Description
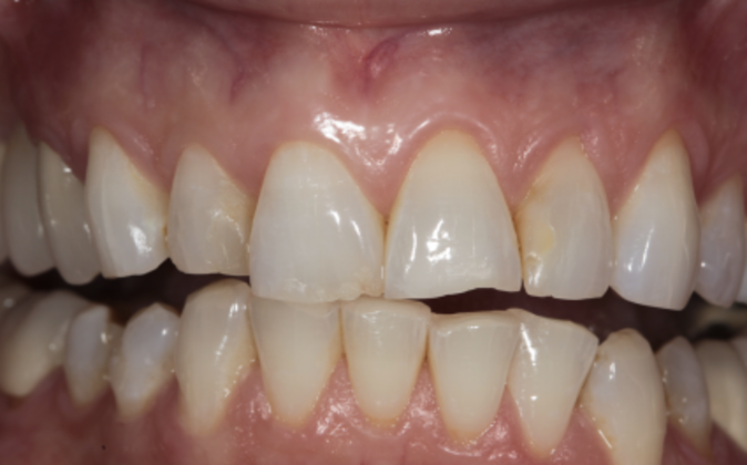
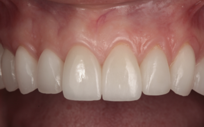
The only thing better than dreaming about the work you’d love to do is to do it, especially if it includes helping others achieve their dreams, too. Shawna loves her work as an interior designer because, as she puts it, “you are building someone’s dream with their personal signature.” We’ve always felt exactly the same way about our work at NYC Smile Design, and Shawna “got it” as soon as she came in for a consult. All of us were on the same page and were happy to move forward right away. Our plan for Shawna was to begin with a slight laser correction to create better balance and symmetry for her gum levels. Then her top ten teeth were prepared for veneers. The results were exactly what we had hoped for, and once again we were all on the same page: we were as happy with the results as Shawna and her clients are when she has completed the environment of their dreams. Dreams really can come true!









