Veneers: Dina 2
Description
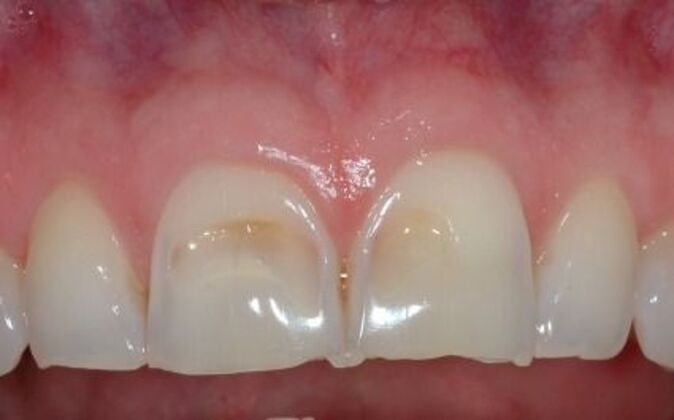
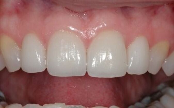
Dina felt her career as an actress was beginning to take shape. Since her smile was an important asset to her career she felt it was time to do something about it. Dina ‘s front teeth had severely eroded as a direct result of acidic erosions from chewing on Lemons as a child. She had a habit of placing lemons between her front teeth for a few minutes at a time. This eventually took its toll on her front teeth and the enamel started to melt away which made her teeth overly sensitized to temperature. Our plan for Dina included rebuilding parts of her teeth that had eroded and placement of four veneers to strengthen the front teeth that had lost most of its enamel support. Eventually Dina plans on placing additional veneers going back to give her a fuller smile.





