Veneers: Daniela
Description
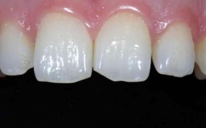
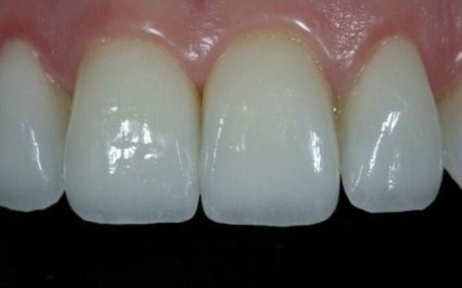
Daniela is a very beautiful girl who was not very happy with her smile. She always felt her smile was too gummy and her teeth were too small. Daniela had really done her research before she came too see us. Daniela was very active and participated with us in designing her smile. We were able to satisfy her desires in the final outcome. Initially her gums were realigned to give proper symmetry and ideal propotions for the final design of her teeth. Once we were satisfied with gum alignment we placed a combination of 9 laminates and 1 cap for her upper teeth.





